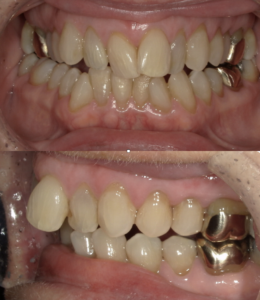
Fact is, my teeth look like they’ve been chased into a flesh corral by a border collie. All spooked and shifty and looking for a way out. They’re like a jumble of panicked sheep, only not as white.
Not anything like as white.
And they’ve been that way since my adult teeth came in. But it’s gotten worse. Measurably worse. Now, at night, they wake me up sometimes. Trump, Miller, Vought, and the Republican toady chorus are awful enough, you really shouldn’t have to be kept up by your own teeth. But several times a night I find my front teeth have pushed my lower lip around and I’m drooling again and nothing really feels right in there—it feels like I’ve got a mouthful of unruly gravel. And so, I thought: should I do something about it? I mean, I probably have twenty years left, and half of those aren’t likely to be great. So the idea of spending two of those better years fooling around with expensive braces is not by any means a no-brainer. But, I thought, at least I could go see an orthodontist for a consultation.
I had to fill out a form first. It started out innocent enough. And then it got weird.
Am I allergic to latex? Do I have herpes, a habit of grinding, am I a lip sucker or biter? Do I have tongue thrust?
What the hell is this establishment? Is this a job application for Madam Maud’s Honey House? I filled it in.
No, maybe a little, no grinding but I can do a little East Coast Swing, none of your business, still none of your business, and sometimes, upon request.
It certainly sounded like whatever they were up to, they should be paying me, and not the other way around. I went in anyway.
And just as I’d imagined, they put me in a chair and said “We’re going to put this wand in your mouth, and it’s going to be really big and uncomfortable, but it won’t take too long.” So, nothing too out of the ordinary so far. When they got to the part where they clamp my head and have me bite down on a stick, I was on my guard. Then it got worse.
“We’re taking your picture now. Smile!”
Oh hell no. I don’t smile for pictures. Tell me a joke or it’s no deal.
Well, we moved on to the special private room where they run through your options. The scary stuff. You’ve got your Invisalign, which are little plastic dominatrix devices, or you’ve got your old-school S&M metal braces. “Do the metal ones work faster, or are they cheaper?” No on both counts. Well, why would anyone choose the metal braces?
Evidently you can get them in different colors and the kids like to show them off. My god, have things changed. Used to be girls posed with their hands folded in front of their stomachs and one foot forward to minimize the hips, and kept their mouths shut for two whole years of orthodonture. Now they show their braces off and pose sideways with their butts sticking out. Is this progress? I have no idea.
But miracle of miracles, the doc said it would take me 17 or 18 months, which is less time than I imagined, and it was also cheaper than I’d imagined. I’m going for it.
Details, without a doubt in my mind, are to follow.
Good luck, Murr!
My older sibs had braces, the metal variety as that was the only kind available in the late sixties to early seventies. When it was my turn I went in to see the family orthodontist. I remember them making an alginate mold of my teeth, which presumably they used to make casts, but I never saw them and there was no further discussion of braces. I seem to recall rubber bands at one point, but those might have only been to add some zing to my speech.
My younger sister may have had braces, but then she was a girl and also the beautiful sibling. My older brother, though a boy was also obviously destined for great things and needed a good looking smile.
My older sister got braces and I didn’t, I think because my parents had shot their orthodontic wad.
Go for it. I had braces in my late 30’s — during my corporate ladder climbing years! (When I showed up at home, my mother exclaimed, “Oh no, now I feel bad that I didn’t have your teeth straightened when you were younger!” I told her it wasn’t too late for her to pay the orthodontist. Ha ha.)
I’ve got some aging teeth too and getting ready for bridgework (the implant didn’t work). I’m reminding myself that self affirmation is a gift. And staying healthy is a responsibility I have toward my loved ones as well as myself.
For one thing, staying healthy is way less expensive.
Go for the green ones so that you don’t have to worry if you have spinach or lettuce stuck in your teeth! They also go well with an amphibian costume at a protest march.
My younger sister had braces. My parents were ill-advised by a dentist to have all of her baby teeth pulled when they had serious decay. He said her permanent teeth would come in right away. Ha. Several years later, her teeth came in like a stone wall with no supervision. Our daughter had braces as a teen but also ended up getting them again as an adult.
I have a mouth guard to reduce wear from grinding my teeth at night but I must admit that I’m not very good about wearing it regularly. I hope my dental hygienist isn’t reading this blog. :O)
I’m going to go out on a limb and say your dental hygienist isn’t reading this blog.
I was in third grade when I got my first orthodontic appliance and in my first year of college the final time I wore my retainer. In between was tightening the metal braces, grinding my gums, pulling a few teeth, rubber bands and other horrors. I always remember my mother saying I’d come home and cry silently after I had the braces tightened. All I know is I have straight teeth and a dentist phobia.
Seventeen months to straight teeth. Wow!
Serious wow if you consider what I’m starting with. Oy.
I did invisiline and it was easy and not too expensive. I recommend it.
I mean, yeah, easy. Still kind of annoying though.
At least your gumlines are still pretty much where they belong. I can’t say the same for mine. I’d be pleased to have my teeth look like yours.
Your smile is lovely to behold!
I had braces as a teenager, but then I noticed at about 50 that my teeth were trying to wander around. I had braces again in my 50s and when the braces came off, I had wires attached to the back of a couple of teeth to keep them where they belong. So far, so good.
They rope them to the corral post, now??
Not that it’s been brought up, or that you even asked for my opinion, but…
Please don’t go for any fake whitening!
The rest of us mere mortals don’t need that additional shaming.
Thank you. Love you.
Love you back. I can’t even believe how white people’s teeth are. We never used to notice unless people’s teeth were actually brown.
There’s a movie set in the future after an apocalypse. One of the actresses has teeth so white that they’re the brightest thing in any scene any time she opens her mouth. Yeah, doesn’t quite fit.
Trying to remember where I encountered this person, but pretty sure it was a phlebotomist (or maybe a doctor’s office receptionist?) who had orange teeth, you know, like a beaver? How do you even go through life like that? And what caused it? Really high iron levels?
Speaking of, did you hear about the study that showed that some monitor lizards have iron reinforced teeth? https://www.nature.com/articles/s41559-024-02477-7#citeas
They have GRILLES? Damn. I think about nutrias having the orange teeth and it doesn’t look good on them either. Didn’t know about beavers.